



抜歯率 ※12歳以上で集計
5年トータル 4.1% (28/684人)
2019.09.20
今回の症例ケースは開咬です。
開咬は症例の中でも治療が難しいと言われてます。
開咬症例も歯科矯正用アンカースクリューを使用することで非抜歯で行うことができます。
今回の方は他院で小学校の時に矯正され
高校生に上がる頃に再度矯正が必要になりました。
その際、開咬で手術も必要と言われたそうです。
ご本人、ご家族は「手術なんて大事な事は望まない自費治療の範囲で矯正したい」というご要望でした。

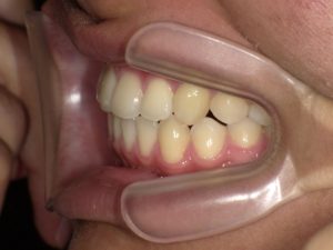
こちらが初診です。
前歯は重なりがなく物を噛みちぎるのが困難な状態です。
機能的に大問題です。
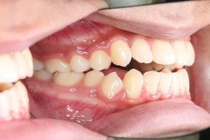
歯科矯正用アンカースクリューを使用して治療したのがこちら

前歯が重なって物を噛みちぎることができます。
さらに非抜歯で治療を行いました。
→ 
→
このように歯の本数は変わっていません。
手術をしなくても、歯を抜かなくても治療は可能です。
【症例情報】
主訴:前歯が噛みあわない
診断名:開咬
年齢:20歳
治療に用いた装置:マルチブラケット装置、歯科矯正用アンカースクリュー
抜歯部位:非抜歯
治療期間:2年
費用:検査代4万8千円 施術、装治療料61万円 歯科矯正用アンカースクリュー代6万円 処治療3000円×回数 プラス消費税
リスク副作用:
こんにちは 歯のガタガタが大きくても抜かずに治療した例を紹介します。今回の歯並びは八重歯です。 こう場合たいていが抜歯が必要とされてます歯並びを解説すると2と3がほぼ重なって生えています。理想...記事を読む
こんにちは。今回は八重歯の非抜歯症例です。初診 ①主訴 八重歯②診断名 叢生③年齢 11歳④治療に用いた主な装置マルチブラテット装置 歯科矯正用アンカースクリュー⑤抜歯部位 なし⑥治療期間 3年⑦治療...記事を読む
あけましておめでとうございます。本年もよろしくお願い致します。 今回紹介するケースは下顎の重度叢生ケースです。治療前 銀歯は乳歯です。叢生が多いと歯磨きも大変です。歯石もつきやすいです。【症...記事を読む
今回の症例紹介は正中のずれを伴った叢生の非抜歯の治療です。初診 ①主訴 前歯のガタガタ②診断名 叢生③年齢18歳④治療に用いた主な装置 マルチブラケット装置 歯科矯正用アンカースクリュー⑤抜歯部位 な...記事を読む
人気記事
2021年04月28日症例
2020年04月10日症例
2019年10月30日症例
2020年01月10日症例
2020年03月20日症例
人気記事