



抜歯率 ※12歳以上で集計
5年トータル 4.1% (28/684人)
2019.10.30
こんにちは。
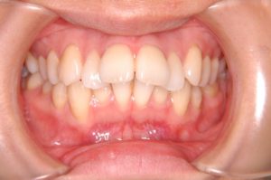
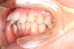
今回は上顎前突、叢生の非抜歯症例を紹介したいと思います。
オーバージェットが大きく、左下の歯は内側に大きく倒れ込んでいます。
奥歯の噛み合わせもずれています。


こういうケースの場合「抜歯」の選択が多いですが、
これも非抜歯で治療致しました。
【症例情報】
主訴:出っ歯が気になる
診断名:叢生を伴う上顎前突
年齢:30歳
治療に用いた装置:マルチブラケット装置
治療期間:1年5か月
費用:検査代4万8千円 施術、装治療料61万円 歯科矯正用アンカースクリュー代6万円 処治療3000円×回数 プラス消費税
リスク副作用:
治療後↓↓↓



前突、叢生が解消されています。
ここで大事なのがE-lineです。
以前セカンドオピニオンで
「非抜歯を希望して治療したが、装置を外した後に出っ歯になった」
という相談を受けました。
確かに非抜歯を選択すると叢生解消と共に前突口元が出てしまいます。
それを解消するために上顎第一大臼歯を遠心移動させ良好なE-lineを作ります。
上の歯の傾きが治った分上唇が引っ込みましたね。
非抜歯矯正でもどういう仕上がりになるのかはとても重要です。

黒が治療前 赤が矯正後です。

こんにちは歯を抜かずにどうやって並べるのか?それは歯科矯正用アンカースクリューを使用します。ほとんどの症例で使用し効果を発揮しています。骨の中に歯科矯正用アンカースクリューを埋め込んでそれを固定源とし動...記事を読む
先日 長崎県で日本矯正歯科学会がありました。非抜歯とは話がずれますが、私の開発した矯正装置の発表をしてきました。様々なインスピレーションを得て今後も非抜歯矯正のみならず多岐にわたる治療方法、装置開発して...記事を読む
こんにちは。今回は八重歯の非抜歯症例です。初診 ①主訴 八重歯②診断名 叢生③年齢 11歳④治療に用いた主な装置マルチブラテット装置 歯科矯正用アンカースクリュー⑤抜歯部位 なし⑥治療期間 3年⑦治療...記事を読む
人気記事
2021年04月28日症例
2020年04月10日症例
2019年10月30日症例
2020年01月10日症例
2020年03月20日症例
人気記事