



抜歯率 ※12歳以上で集計
5年トータル 4.1% (28/684人)
2020.03.20
こんにちは。
今回は八重歯の非抜歯症例です。
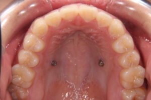
初診


①主訴 八重歯
②診断名 叢生
③年齢 11歳
④治療に用いた主な装置マルチブラテット装置 歯科矯正用アンカースクリュー
⑤抜歯部位 なし
⑥治療期間 3年
⑦治療費 検査代4万8千円 施術、装治療料61万円 歯科矯正用アンカースクリュー代6万円 処治療3000円×回数 プラス消費税
⑧リスク副作用「歯体移動により歯肉、歯槽骨、歯根が減少することがあります。装置により口腔内粘膜を傷つけることがあります。
矯正治療中装置が破損することがあります。
術後 八重歯がなくなったので、笑った時の印象もだいぶかわりました。

はじめは間は前から見えないリンガルアーチを使って治療し、小6の夏から
マルチブラケット装置と歯科矯正用アンカースクリューを用いて治療しました。
中2の終わり頃に装置を外せました。
この春中学3年生になられ、受験勉強で忙しくなる前に装置が外せてよかってです。
こんにちは 歯のガタガタが大きくても抜かずに治療した例を紹介します。今回の歯並びは八重歯です。 こう場合たいていが抜歯が必要とされてます歯並びを解説すると2と3がほぼ重なって生えています。理想...記事を読む
今回の症例紹介は正中のずれを伴った叢生の非抜歯の治療です。初診 ①主訴 前歯のガタガタ②診断名 叢生③年齢18歳④治療に用いた主な装置 マルチブラケット装置 歯科矯正用アンカースクリュー⑤抜歯部位 な...記事を読む
あけましておめでとうございます。本年もよろしくお願い致します。 今回紹介するケースは下顎の重度叢生ケースです。治療前 銀歯は乳歯です。叢生が多いと歯磨きも大変です。歯石もつきやすいです。【症...記事を読む
人気記事
2021年04月28日症例
2020年04月10日症例
2019年10月30日症例
2020年01月10日症例
2020年03月20日症例
人気記事