



抜歯率 ※12歳以上で集計
5年トータル 4.1% (28/684人)
2020.03.10
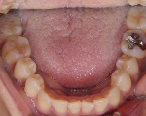
今回の症例は開咬・叢生です。
初診


今回は抜歯治療の紹介です。今まで散々非抜歯を推奨して来たのに?意味がわからない!!となる前に こちら治療前治療後 今回は青いまるで囲っている歯を抜きました。従来このような...記事を読む
以前紹介した ガタガタでも抜かない の治療後です。以前のページはここをクリック 今回の治療のポイントは非抜歯で前歯の位置を変えずにガタガタを治す。です。 治療前 治療後...記事を読む
こんにちは 歯のガタガタが大きくても抜かずに治療した例を紹介します。今回の歯並びは八重歯です。 こう場合たいていが抜歯が必要とされてます歯並びを解説すると2と3がほぼ重なって生えています。理想...記事を読む
今回の症例紹介は正中のずれを伴った叢生の非抜歯の治療です。初診 ①主訴 前歯のガタガタ②診断名 叢生③年齢18歳④治療に用いた主な装置 マルチブラケット装置 歯科矯正用アンカースクリュー⑤抜歯部位 な...記事を読む
人気記事
2021年04月28日症例
2020年04月10日症例
2019年10月30日症例
2020年01月10日症例
2020年03月20日症例
人気記事